Skip to content

NEI Research News

Thanks to the work of NEI scientists and grantees, we’re constantly learning new information about the causes and treatment of vision disorders. Get the latest updates about their work — along with other news about NEI.

Source
4 items

NIH-led scientific team defines elements of brain-based visual impairment in children

Experts convened by the National Institutes of Health (NIH) have identified five elements of a brain-based condition that has emerged as a leading cause of vision impairment starting in childhood in the United States and other industrialized nations.

Babies attend to clues of meaning as they take in complex visual world

Findings from a National Eye Institute-supported study show for the first time that when babies look at photos of unfamiliar everyday scenes, such as an office or a lab, they tend to fixate on the same regions where adults find meaning.

NEI hosts first workshop on brain-based vision disorder

The National Institutes of Health sponsored its first-ever workshop on cerebral visual impairment (CVI), an umbrella term for subnormal vision resulting from brain injury during development.
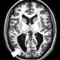
Cross-section of fMRI brain scan with arrow pointing to dark area

Vision loss in children whose eyesight may be 20/20 requires new diagnostic and teaching strategies

Cerebral (cortical) visual impairment (CVI) is a condition that interferes with the ability of the brain to process information from the eyes, and it has become a leading cause of visual impairment in the U.S.