Skip to content

NEI Research News

Thanks to the work of NEI scientists and grantees, we’re constantly learning new information about the causes and treatment of vision disorders. Get the latest updates about their work — along with other news about NEI.

Source
946 items

NEI researchers home in on a new cause of Stargardt disease

Using a new stem-cell based model made from skin cells, scientists found the first direct evidence that Stargardt-related ABCA4 gene mutations affect a layer of cells in the eye called the retinal pigment epithelium (RPE).
Red, green and blue dots on screen representing RPE protein

NIH scientists discover essential step in recharging the eye’s light-sensing retina

Scientists have discovered a mechanism by which an area of a protein shape-shifts to convert vitamin A into a usable form for the eye’s light-sensing photoreceptor cells.
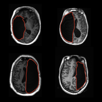
Top-down sectional views of 4 brain scans, showing missing hemispheres.

Word and face recognition can be adequately supported with half a brain, study finds

An unprecedented study of brain plasticity and visual perception found that people who, as children, had undergone surgery removing half of their brain correctly recognized differences between pairs of words or faces more than 80% of the time.
Face-on view of an iris and pupil

NEI funds ocular pain research

The Anterior Segment Initiative has funded eight research projects to explore the innervation of the eye’s surface.
Long distance connections in the brain.

Haven’t I seen this before? Study offers new insights into how the brain separates perception from memory

The brain works in fundamentally different ways when remembering what we have seen compared to seeing something for the first time, a team of scientists has found.
Florescent photo of mouse rod photoreceptor, next to photoreceptor schematic showing cell body, inner and outer segments.

Scientists shine light on how eyes adapt to the dark

A basic research study from the National Eye Institute (NEI) explains how the molecule transducin moves within light-sensing rod photoreceptors in mouse retina to help the eye quickly adapt from bright to low light and back.

Powerful enzyme that tamps down inflammation holds promise for protecting eyes in diabetes, premature birth

An enzyme under study to treat certain cancers is also showing promise in reducing the significant vision damage that can result from diabetes and premature birth, scientists report.
Earth

Iriqat and Lee deliver Global Health Vision Lectures

Series fosters global collaboration and exchange of information among international vision researchers and eye health clinical scientists

3D map reveals DNA organization within human retina cells

National Eye Institute researchers mapped the organization of human retinal cell chromatin, the fibers that package 3 billion nucleotide-long DNA molecules into compact structures that fit into chromosomes within each cell’s nucleus.
LCA is an inherited disorder that causes vision loss in childhood. It primarily affects the functioning of the retina, the light-sensitive tissue at the back of the eye, as shown here. Photo credit: National Eye Institute

Eye-opening discovery about adult brain’s ability to recover vision

University of California, Irvine team demonstrates the adult brain has the potential to partially recover from inherited blindness.