Skip to content

Transmission Electron Microscopy Unit

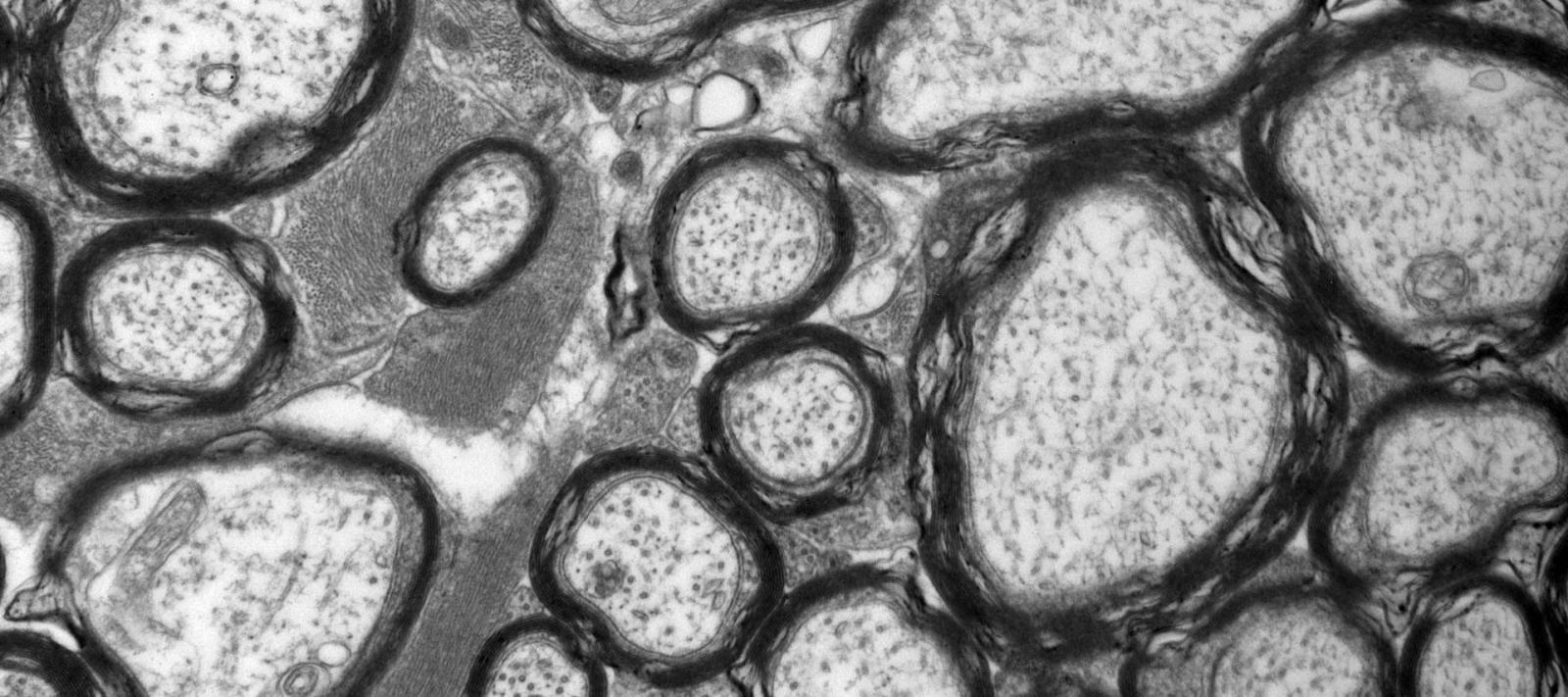
Transmission electron microscopy of a section of mouse optic nerve taken at 20,000X magnification. Photo by Mones Abu-Asab, PhD

About our work

The Transmission Electron Microscopy Unit is part of the Biological Imaging Core Facility.

Facilities and Equipment

The Transmission Electron Microscopy Unit (TEM Unit), located in Building 6 on the NIH main campus, is a fully equipped lab that provides the ultrastructural needs of the institute’s researchers and their collaborators. Our equipment includes a JEOL JEM-1010 transmission electron microscope (TEM), a Leica UC6 ultramicrotome, and AMT digital camera mounted on the TEM. We aim to provide the highest quality microscopy and analytical consultation to our users and collaborators.

Services

  • Provides various fixatives as appropriate
  • Embedding of specimens in epoxy or acrylic resins
  • Ultrathin sectioning of resin embedded specimens
  • Immunolabeling of acrylic-embedded tissues
  • Negative staining of whole mounts such as purified exosomes, proteins, viruses, vesicles…etc.
  • Training in EM sample preparation techniques and electron microscope operation

Please find sample submission instructions on the NEI intranet: https://intranet.nei.nih.gov/int/Pages/TEM.aspx

Transmission Electron Microscopy Unit key staff

Key staff table
Name Title Email Phone
Robert Fariss, Ph.D. Unit Chief farissr@nei.nih.gov 301-496-2829

Last updated: December 18, 2024