Skip to content

Because of a lapse in government funding, the information on this website may not be up to date, transactions submitted via the website may not be processed, and the agency may not be able to respond to inquiries until appropriations are enacted.
The NIH Clinical Center (the research hospital of NIH) is open. For more details about its operating status, please visit cc.nih.gov.
Updates regarding government operating status and resumption of normal operations can be found at OPM.gov.

Person with diabetes checks their blood sugar.

At a glance: Diabetic Retinopathy

  • Early Symptoms:

    None

  • Later Symptoms:

    Blurry vision, floating spots in your vision, blindness

  • Diagnosis:

    Dilated eye exam

  • Treatment:

    Injections, laser treatment, surgery

What is diabetic retinopathy?

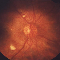
Diabetic retinopathy is an eye condition that can cause vision loss and blindness in people who have diabetes. It affects blood vessels in the retina (the light-sensitive layer of tissue in the back of your eye).

If you have diabetes, it’s important to get a comprehensive dilated eye exam at least once a year. Diabetic retinopathy may not have any symptoms at first — but finding it early can help you take steps to protect your vision.

Managing your diabetes — by staying physically active, eating healthy, and taking your medicine — can also help you prevent or delay vision loss.

Man getting his eyes examined by a doctor using a slit lamp

Other types of diabetic eye disease

Diabetic retinopathy is the most common cause of vision loss for people with diabetes. But diabetes can also make you more likely to develop several other eye conditions:

  • Cataracts. Having diabetes makes you 2 to 5 times more likely to develop cataracts. It also makes you more likely to get them at a younger age. Learn more about cataracts.
  • Open-angle glaucoma. Having diabetes nearly doubles your risk of developing a type of glaucoma called open-angle glaucoma. Learn more about glaucoma.

What are the symptoms of diabetic retinopathy?

The early stages of diabetic retinopathy usually don’t have any symptoms. Some people notice changes in their vision, like trouble reading or seeing faraway objects. These changes may come and go.

In later stages of the disease, blood vessels in the retina start to bleed into the vitreous (gel-like fluid that fills your eye). If this happens, you may see dark, floating spots or streaks that look like cobwebs. Sometimes, the spots clear up on their own — but it’s important to get treatment right away. Without treatment, scars can form in the back of the eye. Blood vessels may also start to bleed again, or the bleeding may get worse.

What other problems can diabetic retinopathy cause?

Diabetic retinopathy can lead to other serious eye conditions:

  • Diabetic macular edema (DME). Over time, about 1 in 15 people with diabetes will develop DME. DME happens when blood vessels in the retina leak fluid into the macula (a part of the retina needed for sharp, central vision). This causes blurry vision.
  • Neovascular glaucoma. Diabetic retinopathy can cause abnormal blood vessels to grow out of the retina and block fluid from draining out of the eye. This causes a type of glaucoma (a group of eye diseases that can cause vision loss and blindness).
  • Retinal detachment. Diabetic retinopathy can cause scars to form in the back of your eye. When the scars pull your retina away from the back of your eye, it’s called tractional retinal detachment.

Am I at risk for diabetic retinopathy?

Anyone with any kind of diabetes can get diabetic retinopathy — including people with type 1, type 2, and gestational diabetes (a type of diabetes that can develop during pregnancy).

Your risk increases the longer you have diabetes. Over time, more than half of people with diabetes will develop diabetic retinopathy. The good news is that you can lower your risk of developing diabetic retinopathy by controlling your diabetes.

Women with diabetes who become pregnant — or women who develop gestational diabetes — are at high risk for getting diabetic retinopathy. If you have diabetes and are pregnant, have a comprehensive dilated eye exam as soon as possible. Ask your doctor if you’ll need additional eye exams during your pregnancy.

What causes diabetic retinopathy?

Diabetic retinopathy is caused by high blood sugar due to diabetes. Over time, having too much sugar in your blood can damage your retina — the part of your eye that detects light and sends signals to your brain through a nerve in the back of your eye (optic nerve).

Diabetes damages blood vessels all over the body. The damage to your eyes starts when the sugar in your blood causes changes to the tiny blood vessels that go to your retina. These changes make it harder for the blood to flow, leading to blocked blood vessels that leak fluid or bleed. To make up for these blocked blood vessels, your eyes then grow new blood vessels that don’t work well. These new blood vessels can leak or bleed easily.

How will my eye doctor check for diabetic retinopathy?

Eye doctors can check for diabetic retinopathy as part of a dilated eye exam. The exam is simple and painless — your doctor will give you some eye drops to dilate (widen) your pupil and then check your eyes for diabetic retinopathy and other eye problems.

If you have diabetes, it’s very important to get regular eye exams. If you do develop diabetic retinopathy, early treatment can stop the damage and prevent blindness.

If your eye doctor thinks you may have severe diabetic retinopathy or DME, they may do a test called a fluorescein angiogram. This test lets the doctor see pictures of the blood vessels in your retina.

What can I do to prevent diabetic retinopathy?

Managing your diabetes is the best way to lower your risk of diabetic retinopathy. That means keeping your blood sugar levels in a healthy range. You can do this by getting regular physical activity, eating healthy, and carefully following your doctor’s instructions for your insulin or other diabetes medicines.

To make sure your diabetes treatment plan is working, you’ll need a special lab test called an A1C test. This test shows your average blood sugar level over the past 3 months. You can work with your doctor to set a personal A1C goal. Meeting your A1C goal can help prevent or manage diabetic retinopathy.

Having high blood pressure or high cholesterol along with diabetes increases your risk for diabetic retinopathy. So controlling your blood pressure and cholesterol can also help lower your risk for vision loss.

What’s the treatment for diabetic retinopathy and DME?

In the early stages of diabetic retinopathy, your eye doctor will probably just keep track of how your eyes are doing. Some people with diabetic retinopathy may need a comprehensive dilated eye exam as often as every 2 to 4 months.

In later stages, it’s important to start treatment right away — especially if you have changes in your vision. While it won’t undo any damage to your vision, treatment can stop your vision from getting worse. It’s also important to take steps to control your diabetes, blood pressure, and cholesterol.

What is the latest research on diabetic retinopathy and DME?

Scientists are studying better ways to find, treat, and prevent vision loss in people with diabetes. One NIH-funded research team is studying whether a cholesterol medicine called fenofibrate can stop diabetic retinopathy from getting worse.

Last updated: September 11, 2025