Skip to content

Because of a lapse in government funding, the information on this website may not be up to date, transactions submitted via the website may not be processed, and the agency may not be able to respond to inquiries until appropriations are enacted.
The NIH Clinical Center (the research hospital of NIH) is open. For more details about its operating status, please visit cc.nih.gov.
Updates regarding government operating status and resumption of normal operations can be found at OPM.gov.

NEI Research News

Thanks to the work of NEI scientists and grantees, we’re constantly learning new information about the causes and treatment of vision disorders. Get the latest updates about their work — along with other news about NEI.

Source
938 items
An illustration of a human brain with stimulated neurons.

Ultra-low power brain implants find meaningful signal in grey matter noise

University of Michigan researchers have dramatically reduced the power requirements of neural interfaces while improving their accuracy—a discovery that could lead to long-lasting brain implants.
neurons

Neurons are genetically programmed to have long lives

Researchers reveal a mechanism by which long-term survival of neurons is intrinsically programmed during development.
Dr. Michael Chiang

NIH selects Dr. Michael Chiang as director of the National Eye Institute

National Institutes of Health Director Francis S. Collins, M.D., Ph.D., has chosen Michael F. Chiang, M.D., as director of NIH’s National Eye Institute (NEI).
IL-17A acts on Th17 cells to produce anti-inflammatory response

Dual role discovered for molecule involved in autoimmune eye disease

The inflammatory molecule interleukin-17A (IL-17A) triggers immune cells that in turn reduce IL-17A’s pro-inflammatory activity, according to a new NEI study.
Computerized image of an eyeball, optic nerve and brain.

Study points to potential new approach to treating neurodegenerative diseases like glaucoma and Alzheimer’s disease

Researchers have shown for the first time that when one optic nerve in the eye is damaged, as in glaucoma, the opposite optic nerve comes to the rescue by sharing its metabolic energy.
An illustration of a human brain with stimulated neurons.

Study helps to settle debate on roles of REM and non-REM sleep in visual learning

A study by a team of Brown University researchers sheds new light on the complementary roles of REM and non-REM sleep in visual perceptual learning.
Fundus photograph of age-related macular degeneration showing drusen.

Combating drug resistance in age-related macular degeneration

Researchers have discovered a strategy that can potentially address a major challenge to the current treatment for choroidal neovascularization (CNV), an aggressive form of age-related macular degeneration.
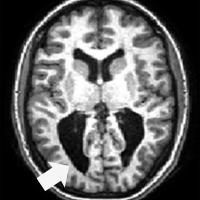
Cross-section of fMRI brain scan with arrow pointing to dark area

Vision loss in children whose eyesight may be 20/20 requires new diagnostic and teaching strategies

Cerebral (cortical) visual impairment (CVI) is a condition that interferes with the ability of the brain to process information from the eyes, and it has become a leading cause of visual impairment in the U.S.
Different colored dots in a circle used for a color plate test

Study finds that special filters in glasses can help the color blind see colors better

A new study found that special patented glasses engineered with technically advanced spectral notch filters enhance color vision for those with the most common types of red-green color vision deficiency (“anomalous trichromacy”).
Profile view of woman's face

More than Meets the Eye

A new study led by researchers at Harvard Medical School and the VA Boston Healthcare System shows that face blindness may arise from deficits beyond visual perception and appears to involve glitches in retrieving various contextual cues from memory.