
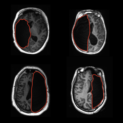
Examples of a single hemisphere in four children after surgery to manage drug-resistant epilepsy. Top row: Removal of the left hemisphere. Bottom row: Removal of the right hemisphere. Image credit: Sophia Robert
An unprecedented study of brain plasticity and visual perception found that people who, as children, had undergone surgery removing half of their brain correctly recognized differences between pairs of words or faces more than 80% of the time. Considering the volume of removed brain tissue, the surprising accuracy highlights the brain’s capacity – and its limitations – to rewire itself and adapt to dramatic surgery or traumatic injury.
The findings, published by University of Pittsburgh researchers in the Proceedings of the National Academy of Sciences (PNAS), is the first-ever attempt to characterize neuroplasticity in humans and understand whether a single brain hemisphere can perform functions typically split between the two sides of the brain.
“The question of whether the brain is prewired with its functional capabilities from birth or if it dynamically organizes its function as it matures and experiences the environment drives much of vision science and neurobiology,” said senior author Marlene Behrmann, Ph.D., professor of ophthalmology and psychology at the University of Pittsburgh and Carnegie Mellon University. “Working with hemispherectomy patients allowed us to study the upper bounds of functional capacity of a single brain hemisphere. With the results from this study, we now have a foot in the door of human neuroplasticity and can finally begin examining the capabilities of brain reorganization.”