
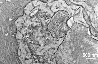
High magnification images taken with an electron microscope, focusing on a single mitochondrion following treatment with Txnip, which has a healthy appearance. Image credit: Yunlu Xue
A gene therapy protects eye cells in mice with a rare disorder that causes vision loss, especially when used in combination with other gene therapies, shows a study published today in eLife.
The findings suggest that this therapy, whether used alone or in combination with other gene therapies that boost eye health, may offer a new approach to preserving vision in people with retinitis pigmentosa or other conditions that cause vision loss.
Scientists have developed a few targeted gene therapies to help individuals with certain mutations that affect photoreceptors, but no treatments are currently available that would be effective for a broad set of families with the disease. “A gene therapy that would preserve photoreceptors in people with retinitis pigmentosa regardless of their specific genetic mutation would help many more patients,” says lead author Yunlu Xue, Postdoctoral Fellow at senior author Constance Cepko’s lab, Harvard Medical School, Boston, US.
To find a widely effective gene therapy for the disease, Xue and colleagues screened 20 potential therapies in mouse models with the same genetic deficits as humans with retinitis pigmentosa. The team chose the therapies based on the effects they have on sugar metabolism.